Микропротезирование зубов в городе Нашгороде Нашей области по низким ценам

Микропротезирование: Современное решение для идеальной улыбки
В нашей стоматологической клинике мы предлагаем инновационный подход к восстановлению зубов – микропротезирование. Это щадящий и эстетичный метод, который позволяет вернуть зубам их естественную красоту и функциональность без радикального вмешательства.
Что такое микропротезирование?
Микропротезирование – это современная технология, направленная на восстановление поврежденных зубов с помощью миниатюрных конструкций. В отличие от классического протезирования, этот метод сохраняет большую часть здоровых тканей зуба, что делает его менее травматичным и более комфортным для пациента.
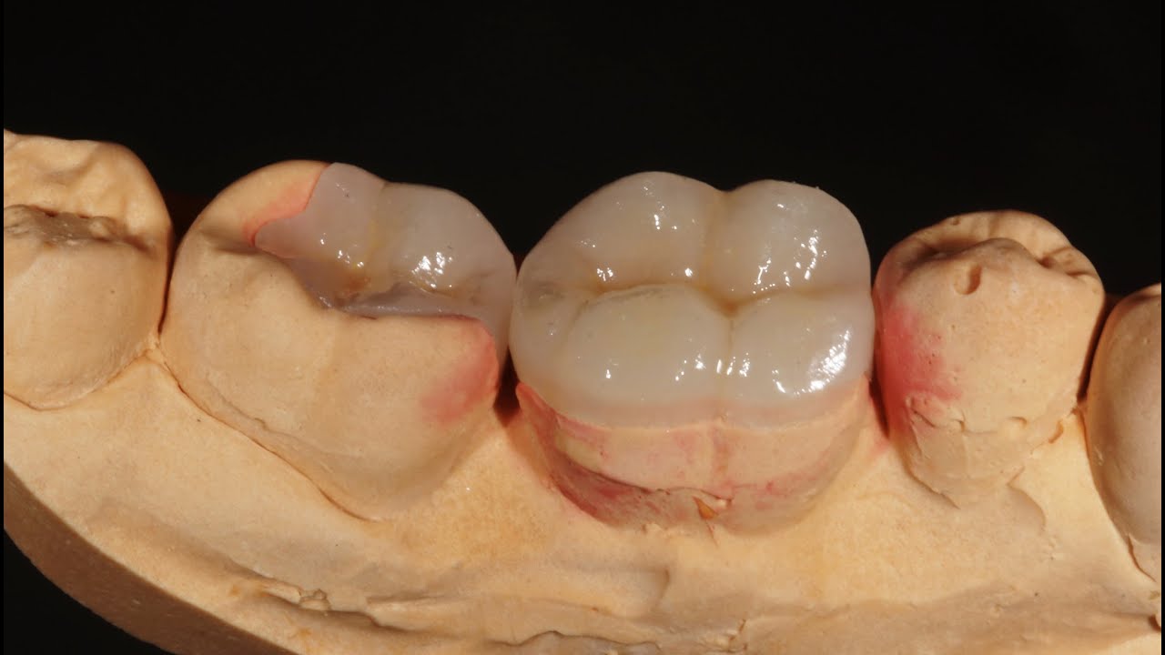
Виды микропротезирования
В нашей клинике мы используем следующие методы микропротезирования:
- Виниры и люминиры
Тонкие керамические или композитные пластинки, которые устанавливаются на переднюю поверхность зубов. Идеально подходят для коррекции сколов, трещин, пятен на эмали, а также для создания безупречной улыбки. - Вкладки
Микропротезы, которые используются для восстановления жевательных зубов. Они изготавливаются индивидуально и точно повторяют форму зуба, обеспечивая максимальную прочность и эстетику. - Адгезивные мостовидные протезы
Современная альтернатива классическим мостам. Позволяет восстановить отсутствующий зуб без обточки соседних.
Показания к микропротезированию
Микропротезирование рекомендуется в следующих случаях:
- Наличие сколов, трещин или повреждений эмали.
- Незначительные дефекты формы или положения зубов.
- Пятна на эмали, которые невозможно устранить отбеливанием.
- Восстановление жевательных зубов при частичном разрушении.
- Желание улучшить эстетику улыбки (изменить форму, цвет или размер зубов).
- Замена старых пломб, которые потеряли эстетичность или функциональность.
Противопоказания
Микропротезирование может быть не рекомендовано при:
- Сильном разрушении зуба, когда требуется более серьезное восстановление (например, коронка).
- Наличии активных воспалительных процессов в полости рта (кариес, пародонтит, гингивит).
- Бруксизме (непроизвольном скрежетании зубами), так как это может привести к повреждению микропротезов.
- Серьезных нарушениях прикуса, которые требуют предварительного ортодонтического лечения.
- Аллергии на материалы, используемые при изготовлении микропротезов.
Особенности микропротезирования
- Минимальная инвазивность: процедура требует незначительной обработки зуба, что позволяет сохранить его здоровые ткани.
- Индивидуальный подход: микропротезы изготавливаются с учетом анатомических особенностей пациента, что обеспечивает идеальное прилегание и естественный вид.
- Быстрый результат: в большинстве случаев для достижения желаемого эффекта требуется всего 1-2 визита к стоматологу.
- Долговечность: современные материалы, такие как керамика и композиты, отличаются высокой прочностью и устойчивостью к износу.
Этапы микропротезирования
- Консультация и диагностика
На первом приеме врач проводит осмотр, оценивает состояние зубов и определяет возможность микропротезирования. При необходимости делаются рентгеновские снимки или цифровое сканирование. - Подготовка зуба
Поверхность зуба обрабатывается, удаляются поврежденные ткани. Для виниров и вкладок проводится минимальная обточка эмали. - Снятие слепков
С помощью современных материалов или цифрового сканера создается точная модель зуба, которая передается в лабораторию для изготовления микропротеза. - Изготовление микропротеза
В лаборатории создается индивидуальная конструкция, которая точно соответствует форме и цвету зуба пациента. - Примерка и фиксация
Готовый микропротез примеряется, при необходимости корректируется и фиксируется с помощью специальных адгезивных материалов. - Рекомендации по уходу
Врач дает подробные инструкции по уходу за микропротезами, чтобы обеспечить их долговечность и сохранить эстетику.
Преимущества микропротезирования
- Минимальное вмешательство: сохраняется большая часть здоровых тканей зуба.
- Высокая эстетика: конструкции выглядят естественно и незаметно.
- Долговечность: материалы, используемые в микропротезировании, отличаются прочностью и устойчивостью к внешним воздействиям.
- Комфорт: процедура проводится с минимальным дискомфортом для пациента.
Почему выбирают нас?
- Опытные врачи с многолетним стажем работы.
- Использование современных материалов и технологий.
- Индивидуальный подход к каждому пациенту.
- Гарантия качества и долговечности результатов.
Микропротезирование в нашей клинике – это современный подход к восстановлению зубов, который сочетает в себе эстетику, функциональность и комфорт. Доверьтесь профессионалам, и ваша улыбка засияет с новой силой!