Загрузка...

  • Зубные коронки в Нашгороде в клинике "Наша Клиника"

    Зубные коронки в городе Нашгороде Нашей области по низким ценам

    Зубные коронки обычные

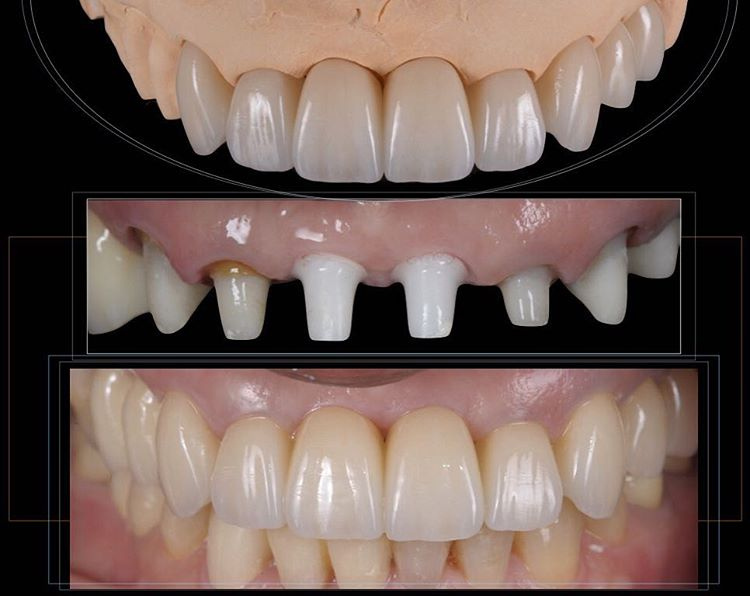
    Зубные коронки – это ортопедические конструкции, которые используются для восстановления повреждённых или разрушенных зубов. Они полностью покрывают зуб, защищая его от дальнейшего разрушения и возвращая ему естественный внешний вид и жевательную функцию. Коронки могут изготавливаться из различных материалов, таких как металлокерамика, керамика, цирконий и другие современные композиты.

    Особенности зубных коронок

    • Полное восстановление зуба – коронка охватывает зуб со всех сторон, защищая его от механических и химических воздействий.
    • Эстетика – современные коронки имеют цвет и прозрачность, максимально приближенные к натуральным зубам.
    • Долговечность – качественные коронки служат от 10 лет и дольше при правильном уходе.
    • Функциональность – восстанавливают возможность комфортного пережёвывания пищи и предотвращают перегрузку соседних зубов.
    • Универсальность – могут использоваться как для восстановления одиночных зубов, так и в составе мостовидных протезов и на имплантах.

    Преимущества зубных коронок

    • Эстетичный внешний вид — современные коронки выглядят как натуральные зубы.
    • Защита зуба от разрушения и кариеса.
    • Восстановление жевательной функции.
    • Долговечность — срок службы до 15 лет при правильном уходе.
    • Подходят для восстановления как передних, так и жевательных зубов.

    Виды зубных коронок

    1. Металлокерамические коронки — прочные и доступные по цене, идеально подходят для жевательных зубов.
    2. Коронки из диоксида циркония — гипоаллергенные, эстетичные и долговечные.
    3. Керамические коронки — максимально естественный вид, подходят для передних зубов.
    4. Металлические коронки — используются в случаях, где требуется максимальная прочность (например, для жевательных зубов).

    Показания и противопоказания

    Показания
    • Значительное разрушение зуба из-за кариеса или механической травмы.
    • Повышенная стираемость эмали и снижение прочности зубов.
    • Восстановление зуба после эндодонтического лечения (депульпирования).
    • Замена старых или неэстетичных пломб.
    • Установка на импланты для восстановления утраченных зубов.
    • Коррекция формы или цвета зубов в косметических целях.
    Противопоказания
    • Острые воспалительные процессы в ротовой полости.
    • Аллергическая реакция на материалы коронки.
    • Низкая высота клинической коронки зуба (в некоторых случаях требуется предварительное хирургическое вмешательство).
    • Бруксизм (непроизвольное скрежетание зубами) – требует предварительного лечения и подбора специальных защитных конструкций.

    Этапы установки зубных коронок

    1. Диагностика и подготовка

    Стоматолог проводит осмотр и рентгенологическое исследование зуба. При необходимости выполняется лечение кариеса или замена старых пломб.

    2. Препарирование зуба

    Зуб обтачивается для установки коронки. Если зуб сильно разрушен, может потребоваться восстановление культевой вкладкой.

    3. Снятие слепков и изготовление коронки

    Слепки передаются в лабораторию, где зубной техник изготавливает индивидуальную коронку с учётом формы и цвета зубов пациента.

    4. Установка временной коронки

    На период изготовления постоянной конструкции пациенту устанавливается временная коронка, которая защищает зуб.

    5. Фиксация постоянной коронки

    Готовая коронка примеряется, корректируется и фиксируется на специальный стоматологический цемент.

    Как проходит установка?

    1. Консультация и диагностика: осмотр зубов, рентген и выбор подходящего материала коронки.
    2. Подготовка зуба: обработка, при необходимости лечение каналов и снятие слепков.
    3. Изготовление коронки: в зуботехнической лаборатории изготавливается индивидуальная коронка (занимает 5–7 дней).
    4. Установка: фиксация готовой коронки на зуб с помощью стоматологического цемента.

    Рекомендации после установки

    • Регулярно чистите зубы, используя мягкую щётку и качественную пасту.
    • Используйте зубную нить или ирригатор для очистки межзубных промежутков.
    • Избегайте чрезмерной нагрузки на коронку (например, разгрызания орехов).
    • Посещайте стоматолога для контроля состояния коронки не реже одного раза в год.

    Стоимость зубных коронок

    • Металлокерамическая коронка — от 10 000 руб.
    • Коронка из циркония — от 18 000 руб.
    • Керамическая коронка — от 15 000 руб.

    Точная стоимость зависит от выбранного материала и состояния зуба. Запишитесь на консультацию, чтобы получить персональный план лечения.

    Почему пациенты выбирают нашу клинику?

    • Опытные стоматологи-ортопеды с высокой квалификацией.
    • Современные материалы, обеспечивающие долговечность и эстетику.
    • Индивидуальный подход к выбору коронки для каждого пациента.
    • Точное 3D-моделирование и высокоточная диагностика.
    • Гарантия качества на все виды работ.

    Запишитесь на консультацию, чтобы подобрать оптимальный вариант коронки и вернуть улыбке красоту и здоровье!